Skip to content Skip to sidebar Skip to footer

Little League Shoulder Treatment

Little League Shoulder 5 Things Parents And Coaches Should Know

Little League Shoulder 5 Things Parents And Coaches Should Know

Little league shoulder treatment. The key treatment is rest. All were treated at a single pediatric care facility between 1999 and 2013 and nearly all 97 percent were baseball players. Your child may need physical therapy to improve.

They will determine if Little. In this first phase of recovery the acute phase physical therapy will focus on decreasing the pain and inflammation in the affected joint. Rest your doctor may suggest you avoid throwing activities for a period of time.

Little League shoulder also called proximal humeral epiphyseolysis is an inflammation of the growth plate on the upper humerus in young athletes. It is important for treatment to ensure the bone growth plate is not damaged and is allowed to heal properly. By strengthening the muscles around the shoulder and learning proper throwing mechanics and stretching techniques the patient can build up his or her arm.

Outcome of conservative treatment for Little League shoulder in young baseball players. Rest is the most effective treatment for Little League shoulder. Little League Shoulder Treatment The most important part of treatment is rest.

The physical therapist will work with your child to stretch out and strengthen the shoulder which will help with the pain. An athlete can expect at least 6 weeks of no throwing but this can vary based on the severity of the problem and could take several months. However while shutting them down is the first step it does NOT necessarily mean your child has to rest.

Physical therapy is usually recommended to strengthen the muscles in the upper arm and shoulder during recovery. Treatment is cessation of throwing followed by PT and progressive throwing program after sufficient rest. Premature closure and fractures of the growth plate have been reported in association with Little League shoulder but these are extremely rare complications.

It is important to see a sports medicine specialist to evaluate shoulder pain in young athletes. How Do I Treat Little League Shoulder.

Little Leaguer S Shoulder Everything You Need To Know Dr Nabil Ebraheim Youtube

Little Leaguer S Shoulder Everything You Need To Know Dr Nabil Ebraheim Youtube

Little League Shoulder Unfortunately It Means Springtime Is Here Sideline Sports Doc

Little League Shoulder Unfortunately It Means Springtime Is Here Sideline Sports Doc

Little Leaguer S Shoulder Shoulder Elbow Orthobullets

Little Leaguer S Shoulder Shoulder Elbow Orthobullets

Little League Shoulder Pontchartrain Orthopedics Sports Medicine

Little League Shoulder Pontchartrain Orthopedics Sports Medicine

Little Leaguer S Shoulder Shoulder Elbow Orthobullets

Little Leaguer S Shoulder Shoulder Elbow Orthobullets

Little Leaguer S Shoulder Dr David Geier Sports Medicine Simplified

Little Leaguer S Shoulder Dr David Geier Sports Medicine Simplified

Little League Shoulder Baseball Health Network

Little League Shoulder Baseball Health Network

Little League Shoulder Syndrome In An Adolescent Cricket Player British Journal Of Sports Medicine

Little League Shoulder Syndrome In An Adolescent Cricket Player British Journal Of Sports Medicine

Little League Shoulder Treatment Brooklyn Ny Pediatric Shoulder Pain Manhattan Ny

Little League Shoulder Treatment Brooklyn Ny Pediatric Shoulder Pain Manhattan Ny

Little League Shoulder A Growth Plate Injury Springerlink

Little League Shoulder A Growth Plate Injury Springerlink

Little Leaguer S Shoulder Orthopaedicsone Review Orthopaedicsone

Little Leaguer S Shoulder Orthopaedicsone Review Orthopaedicsone

Little League Shoulder 5 Things Parents And Coaches Should Know

Little League Shoulder 5 Things Parents And Coaches Should Know

When Your Child Has Little Leaguer S Elbow Or Little Leaguer S Shoulder

When Your Child Has Little Leaguer S Elbow Or Little Leaguer S Shoulder

Radiographic Follow Up Study Of Little Leaguer S Shoulder Semantic Scholar

Radiographic Follow Up Study Of Little Leaguer S Shoulder Semantic Scholar

Little League Shoulder

Little League Shoulder

Radiographic Follow Up Study Of Little Leaguer S Shoulder Semantic Scholar

Radiographic Follow Up Study Of Little Leaguer S Shoulder Semantic Scholar

Little League Shoulder A Growth Plate Injury Springerlink

Little League Shoulder A Growth Plate Injury Springerlink

Little Leaguer S Shoulder Shoulder Elbow Orthobullets

Little Leaguer S Shoulder Shoulder Elbow Orthobullets

Little League Shoulder Treatment San Antonio Tx Shoulder Injury San Antonio Tx

Little League Shoulder Treatment San Antonio Tx Shoulder Injury San Antonio Tx

Outcome Of Conservative Treatment For Little League Shoulder In Young Baseball Players Factors Related To Incomplete Return To Baseball And Recurrence Of Pain Journal Of Shoulder And Elbow Surgery

Outcome Of Conservative Treatment For Little League Shoulder In Young Baseball Players Factors Related To Incomplete Return To Baseball And Recurrence Of Pain Journal Of Shoulder And Elbow Surgery

Little Leaguer S Shoulder Orthopaedicsone Review Orthopaedicsone

Little Leaguer S Shoulder Orthopaedicsone Review Orthopaedicsone

Little League Shoulder 5 Things Parents And Coaches Should Know

Little League Shoulder 5 Things Parents And Coaches Should Know

Little Leaguer S Shoulder Syndrome

Little Leaguer S Shoulder Syndrome

3

3

Youth Baseball Throwing Injuries

Youth Baseball Throwing Injuries

Chiropractor Chandler Az Little Leaguer S Shoulder Chiropractor Chandler Az

Chiropractor Chandler Az Little Leaguer S Shoulder Chiropractor Chandler Az

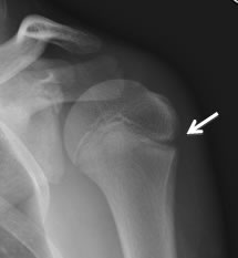
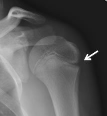
Little Leaguer S Shoulder Radiology Case Radiopaedia Org

Little Leaguer S Shoulder Radiology Case Radiopaedia Org

How To Diagnose Shoulder Injuries In Young Athletes

How To Diagnose Shoulder Injuries In Young Athletes

Little League Shoulder M89 9 733 9 Eorif

Little League Shoulder M89 9 733 9 Eorif

Physiolysis Proximal Humeral Physis Little League Shoulder A Download Scientific Diagram

Physiolysis Proximal Humeral Physis Little League Shoulder A Download Scientific Diagram

Figure 2 From Proximal Humeral Physeal Widening Little Leaguer S Shoulder Or A Variation Of Normal Development Semantic Scholar

Figure 2 From Proximal Humeral Physeal Widening Little Leaguer S Shoulder Or A Variation Of Normal Development Semantic Scholar

Injuries Unique To The Adolescent Athlete Westchester Health Orthop

Injuries Unique To The Adolescent Athlete Westchester Health Orthop

What Is Little League Shoulder Cincinnati Children S Blog

What Is Little League Shoulder Cincinnati Children S Blog

Little League Shoulder Proximal Humeral Epiphysitis Lurie Children S

Little League Shoulder Proximal Humeral Epiphysitis Lurie Children S

Shoulder Injuries Seattle Dr Khalfayan Wa

Shoulder Injuries Seattle Dr Khalfayan Wa

Https Www Seattlechildrens Org Pdf Pe2270 Pdf

Https Www Seattlechildrens Org Pdf Pe2270 Pdf

Little League Shoulder Youtube

Little League Shoulder Youtube

Upper Extremity Sports Injuries Radsource

Upper Extremity Sports Injuries Radsource

Little League Elbow

Little League Elbow

Childhood And Adolescent Sports Related Overuse Injuries American Family Physician

Childhood And Adolescent Sports Related Overuse Injuries American Family Physician

Treatment Of Little League Elbow 3 Expert Tips Chiroup

Treatment Of Little League Elbow 3 Expert Tips Chiroup

Little Leaguer S Shoulder Springerlink

Little Leaguer S Shoulder Springerlink

How To Prevent Little League Shoulder Dr Roger Chams

How To Prevent Little League Shoulder Dr Roger Chams

Growing Pains Injury And Skeletal Immaturity Ppt Video Online Download

Growing Pains Injury And Skeletal Immaturity Ppt Video Online Download

Little League Shoulder Sports Medicine Today

Little League Shoulder Sports Medicine Today

Upper Extremity Injuries

Upper Extremity Injuries

Pediatric Musculoskeletal Review Ppt Download

Pediatric Musculoskeletal Review Ppt Download

How To Diagnose Shoulder Injuries In Young Athletes

How To Diagnose Shoulder Injuries In Young Athletes

1

1

Little League shoulder and Little League elbow are treated with a period of rest physical therapy and programs to improve strength and throwing mechanics.

However while shutting them down is the first step it does NOT necessarily mean your child has to rest. The most effective treatment for Little League Shoulder is rest from throwing so that the growth plate can heal. It is important for treatment to ensure the bone growth plate is not damaged and is allowed to heal properly. Since Little League Shoulder and Elbow are bone-related overuse injuries it is important to rest the affected growth plate bone and muscles attached which will allow healing to occur. They will determine if Little. A physical therapist will also help with core strength and shoulder stability. To gain more insight into Little League shoulder the investigators analyzed the experience of 95 patients with the condition aged 8 to 17 the average age was 13. Ice this helps to decrease swelling bleeding and pain in the shoulder. Incorrect throwing or overarm movement and overuse can cause Little League shoulder injuries.


It is important to see a sports medicine specialist to evaluate shoulder pain in young athletes. Once the diagnosis of little league shoulder is made your doctor will decide the best possible treatment. By strengthening the muscles around the shoulder and learning proper throwing mechanics and stretching techniques the patient can build up his or her arm. Most athletes with Little League shoulder need to stop throwing for a minimum of three months and go through several months of physical therapy before fully returning to sports. Good shoulder flexibility was associated with a return to baseball without pain. How Do I Treat Little League Shoulder. What should I do if my child is diagnosed with little league shoulder.

Post a Comment for "Little League Shoulder Treatment"