Skip to content Skip to sidebar Skip to footer

Retained Products Of Conception

Retained Products Of Conception What Is The Risk For Recurrence On Subsequent Pregnancies European Journal Of Obstetrics And Gynecology And Reproductive Biology

Retained Products Of Conception What Is The Risk For Recurrence On Subsequent Pregnancies European Journal Of Obstetrics And Gynecology And Reproductive Biology

Retained products of conception. Products of conception Products of conception abbreviated POC is stuff formed from the union of egg and sperm. Normal postpartum bleeding lochia occurs in the first 24 hours postpartum with a gradual decrease in the amount of bleeding over the next several weeks. ERPC November 2019 Page 1 of 4.

In case 2 the natural course of this pathological condition was observed confirming a process of regression during repeated withdrawal bleeding. Retained products of conception NOS following delivery. After childbirth it is vital for the attending midwife to examine the placenta carefully to check that it is complete as any tissue left behind can cause serious problems.

Retained products of conception following induced termination of pregnancy ICD-10-CM O731 is grouped within Diagnostic Related Group s MS-DRG v380. 59160 would be for retained placenta following delivery but that does not seem like your situation. In case 1 pathological diagnosis was possible with the resected specimens.

Tiate from retained products of conception RPOC. Retained products of conception POCs can occur after spontaneous or induced abortion and after delivery. This patient had hypervascular retained products of conception RPOC.

This leaflet is designed to give you information on the operation you are about to undergo. This condition is termed retained products of conception RPOC. They represent one of the most common reasons for presentation and hospital referral in the first trimester and postpartum period.

Hemorrhage associated with retained portions of placenta or membranes after the first 24 hours following delivery of placenta. 59870 is only if it is a molar pregnancy which again. There are separate articles for chorionic villi and gestational trophoblastic disease.

Retained products of conception RPOC are the placental andor fetal tissue that remain in the womb following childbirth a medical termination of pregnancy or a miscarriage. The presence of RPOC after a spontaneous pregnancy loss distinguishes an incomplete from a complete miscarriage.

How Retained Products Of Conception Can Impact Fertility Empowered Women S Health

How Retained Products Of Conception Can Impact Fertility Empowered Women S Health

Retained Products Of Conception Radiology Reference Article Radiopaedia Org

Retained Products Of Conception Radiology Reference Article Radiopaedia Org

Retained Products Of Conception Dr Mohamed Soliman

Retained Products Of Conception Dr Mohamed Soliman

Retained Products Of Conception An Atypical Presentation Diagnosed Immediately With Bedside Emergency Ultrasound

Retained Products Of Conception An Atypical Presentation Diagnosed Immediately With Bedside Emergency Ultrasound

Physiologic Histologic And Imaging Features Of Retained Products Of Conception Radiographics

Physiologic Histologic And Imaging Features Of Retained Products Of Conception Radiographics

How Retained Products Of Conception Can Impact Fertility Empowered Women S Health

How Retained Products Of Conception Can Impact Fertility Empowered Women S Health

Retained Products Of Conception Radiology Case Radiopaedia Org

Retained Products Of Conception Radiology Case Radiopaedia Org

Retained Products Of Conception Ultrasound Video Lecture Youtube

Retained Products Of Conception Ultrasound Video Lecture Youtube

Retained Products Of Conception Radiologypics Com

Retained Products Of Conception Radiologypics Com

Hysteroscopy And Retained Products Of Conception Hysteroscopy Newsletter

Hysteroscopy And Retained Products Of Conception Hysteroscopy Newsletter

Retained Products Of Conception Radiology Case Radiopaedia Org

Retained Products Of Conception Radiology Case Radiopaedia Org

Physiologic Histologic And Imaging Features Of Retained Products Of Conception Radiographics

Physiologic Histologic And Imaging Features Of Retained Products Of Conception Radiographics

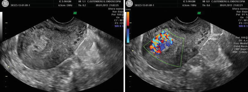
Ultrasonographic Patterns Of Rpoc Gutenberg Classification A Type 0 Download Scientific Diagram

Ultrasonographic Patterns Of Rpoc Gutenberg Classification A Type 0 Download Scientific Diagram

2

2

Hysteroscopic Treatment Of Retained Placental Tissue A Case Report Gynecological Surgery Full Text

Hysteroscopic Treatment Of Retained Placental Tissue A Case Report Gynecological Surgery Full Text

Hysteroscopic Removal Of Retained Products Of Conception Following First Trimester Medical Abortion Sciencedirect

Hysteroscopic Removal Of Retained Products Of Conception Following First Trimester Medical Abortion Sciencedirect

Retained Products Of Conception Clinical Gate

Retained Products Of Conception Clinical Gate

Retained Products Of Conception Radiologypics Com

Retained Products Of Conception Radiologypics Com

Retained Products Of Conception Radiology Key

Retained Products Of Conception Radiology Key

Vascular Grading Of Retained Products Of Conception On Ultrasound And Download Scientific Diagram

Vascular Grading Of Retained Products Of Conception On Ultrasound And Download Scientific Diagram

Retained Products Of Conception Kamaya 2009 Journal Of Ultrasound In Medicine Wiley Online Library

Retained Products Of Conception Kamaya 2009 Journal Of Ultrasound In Medicine Wiley Online Library

Retained Products Of The Advance Institute Of Paramedics Facebook

Retained Products Of The Advance Institute Of Paramedics Facebook

Retained Products Of Conception Radiology Reference Article Radiopaedia Org

Retained Products Of Conception Radiology Reference Article Radiopaedia Org

1

1

Retained Products Of Conception After Cesarean Section And Occult Placenta Accreta Mayo Clinic Proceedings

Retained Products Of Conception After Cesarean Section And Occult Placenta Accreta Mayo Clinic Proceedings

Multimodality Imaging In Secondary Postpartum Or Postabortion Hemorrhage Retained Products Of Conception And Related Conditions Springerlink

Multimodality Imaging In Secondary Postpartum Or Postabortion Hemorrhage Retained Products Of Conception And Related Conditions Springerlink

Retained Products Of Conception

Retained Products Of Conception

Retained Products Of Conception Radiology Key

Retained Products Of Conception Radiology Key

Hysteroscopy And Retained Products Of Conception Springerlink

Hysteroscopy And Retained Products Of Conception Springerlink

Retained Products Of Conception Hysteroscopy Newsletter

Retained Products Of Conception Hysteroscopy Newsletter

Physiologic Histologic And Imaging Features Of Retained Products Of Conception Radiographics

Physiologic Histologic And Imaging Features Of Retained Products Of Conception Radiographics

Products Of Conception Wikipedia

Products Of Conception Wikipedia

Products Of Conception Symptoms

Products Of Conception Symptoms

Retained Products Of Conception Kamaya 2009 Journal Of Ultrasound In Medicine Wiley Online Library

Retained Products Of Conception Kamaya 2009 Journal Of Ultrasound In Medicine Wiley Online Library

2

2

2

2

Retained Products Of Conception Radiology Key

Retained Products Of Conception Radiology Key

Figure 6 From Clinical And Imaging Predictors Of Management In Retained Products Of Conception Semantic Scholar

Figure 6 From Clinical And Imaging Predictors Of Management In Retained Products Of Conception Semantic Scholar

Retained Products Of Conception Wikidoc

Retained Products Of Conception Wikidoc

Retained Products Of Conception An Atypical Presentation Diagnosed Immediately With Bedside Emergency Ultrasound

Retained Products Of Conception An Atypical Presentation Diagnosed Immediately With Bedside Emergency Ultrasound

Intrauterine Adhesions After Hysteroscopic Treatment For Retained Products Of Conception What Are The Risk Factors Fertility And Sterility

Intrauterine Adhesions After Hysteroscopic Treatment For Retained Products Of Conception What Are The Risk Factors Fertility And Sterility

Hysteroscopic Removal Of Angular Retained Products Of Conception Hidden Behind Intrauterine Adhesions Using A 12 Fr Spoon Shaped Forceps Zhang Annals Of Translational Medicine

Hysteroscopic Removal Of Angular Retained Products Of Conception Hidden Behind Intrauterine Adhesions Using A 12 Fr Spoon Shaped Forceps Zhang Annals Of Translational Medicine

Retained Products Of Conception Radiology Reference Article Radiopaedia Org

Retained Products Of Conception Radiology Reference Article Radiopaedia Org

Retained Products Of Conception After Cesarean Section And Occult Placenta Accreta Mayo Clinic Proceedings

Retained Products Of Conception After Cesarean Section And Occult Placenta Accreta Mayo Clinic Proceedings

2

2

Ultrasound Features Help Identify Patients Who Can Undergo Noninvasive Management For Suspected Retained Products Of Conception A Single Institutional Experience Springerlink

Ultrasound Features Help Identify Patients Who Can Undergo Noninvasive Management For Suspected Retained Products Of Conception A Single Institutional Experience Springerlink

Pdf Hysteroscopic Management Of Retained Products Of Conception Semantic Scholar

Pdf Hysteroscopic Management Of Retained Products Of Conception Semantic Scholar

Postpartum Retained Products Of Conception Retrospective Analysis Of The Association With Third Stage Of Labor Placental Complications European Journal Of Obstetrics And Gynecology And Reproductive Biology

Postpartum Retained Products Of Conception Retrospective Analysis Of The Association With Third Stage Of Labor Placental Complications European Journal Of Obstetrics And Gynecology And Reproductive Biology

Https Encrypted Tbn0 Gstatic Com Images Q Tbn And9gcsrk5qoim5ewx36yhsmh3ykyobpzjrqxeeucfsqv Dv4i Etxml Usqp Cau

Https Encrypted Tbn0 Gstatic Com Images Q Tbn And9gcsrk5qoim5ewx36yhsmh3ykyobpzjrqxeeucfsqv Dv4i Etxml Usqp Cau

Retained products of conception POCs can occur after spontaneous or induced abortion and after delivery.

This article covers POC superficially. RPOC or retained products of conception is a medical term that is used by doctors to describe the fetal tissue and any placental or other kinds of tissue of the fertilised egg that may remain in the uterus post medical or surgical termination of pregnancy. ERPC November 2019 Page 1 of 4. Tiate from retained products of conception RPOC. 769 Postpartum and post abortion diagnoses with or. Hemorrhage associated with retained portions of placenta or membranes after the first 24 hours following delivery of placenta. This patient had hypervascular retained products of conception RPOC. They represent one of the most common reasons for presentation and hospital referral in the first trimester and postpartum period. In case 2 the natural course of this pathological condition was observed confirming a process of regression during repeated withdrawal bleeding.


This condition is termed retained products of conception RPOC. Retained products of conception are all coded in the Obstetrics section to the root operation Extraction and the body part Products of Conception Retained. This patient had hypervascular retained products of conception RPOC. 59160 would be for retained placenta following delivery but that does not seem like your situation. They represent one of the most common reasons for presentation and hospital referral in the first trimester and postpartum period. Evacuation of retained products of conception ERPC Introduction. This article covers POC superficially.

Post a Comment for "Retained Products Of Conception"